Citología Respiratoria
ADENOCARCINOMA
Atlas para ver la imagen aumentada
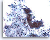
Lavado bronquial
Las células de un adenocarcinoma pulmonar bien y moderadamente diferenciado están típicamente agrupadas20x
Lavado bronquial
Las células de un adenocarcinoma pulmonar bien y moderadamente diferenciado están típicamente agrupadas
20x
Lavado bronquial
A mayor aumento se muestran núcleos uniformes relativamente blandos.
40x
Lavado bronquial
A mayor aumento se muestran núcleos uniformes relativamente blandos.
40x
Lavado bronquial
Una característica celular del adenocarcinoma es que los núcleos son normalmente únicos y situados centralmente. 40x
Lavado bronquial
Una característica celular del adenocarcinoma es que los núcleos son normalmente únicos y situados centralmente.
40x
Lavado bronquial
La naturaleza tridimensional de este grupo de adenocarcinoma es evidente. 40x
Lavado bronquial
La naturaleza tridimensional de este grupo de adenocarcinoma es evidente.
40x
Lavado bronquial
Un grupo de adenocarcinoma mezclado con macrófagos respiratorios.
20x
Lavado bronquial
En el borde de este grupo se observan células con citoplasma vacuolado .
60x 60x
Lavado bronquial
En el borde de este grupo se observan células con citoplasma vacuolado .
60x
60x
Lavado bronquial
Este grupo de células forma una pequeña estructura acinar. 60x
Lavado bronquial
Grupo de adenocarcinoma presente en un fondo de necrosis.
20x
Lavado bronquial
Cuando hay mucho material necrótico, el diagnóstico de adenocarcinoma debe realizarse con gran precaución.
20x 20x
Lavado bronquial
Cuando hay mucho material necrótico, el diagnóstico de adenocarcinoma debe realizarse con gran precaución.
20x
20x
Esputo
Esta muestra de esputo muestra un grupo de células vacuoladas.
20x
Esputo
A mayor aumento se muestra el complejo de vacuolas múltiples dentro del citoplasma . 60x
Esputo
A mayor aumento se muestra el complejo de vacuolas múltiples dentro del citoplasma .
60x
Esputo
Dentro de este grupo se observa una estructura acinar bien formada
60x
Lavado bronquial
Un adenocarcinoma más pobremente diferenciado que contiene restos celulares. 20x
Lavado bronquial
Un adenocarcinoma más pobremente diferenciado que contiene restos celulares.
20x
Lavado bronquial
A más aumento se observan las células preservadas mostrando características de adenocarcinoma, agrupamiento celular, monotonía celular, cromatina pálida y nucleolos eosinófilos. 60x
Lavado bronquial
A más aumento se observan las células preservadas mostrando características de adenocarcinoma, agrupamiento celular, monotonía celular, cromatina pálida y nucleolos eosinófilos.
60x
Lavado bronquial
Observan los nucleolos localizados centralmente y la estructura acinar rudimentaria en este adenocarcinoma. 40x
Lavado bronquial
Observan los nucleolos localizados centralmente y la estructura acinar rudimentaria en este adenocarcinoma.
40x
Lavado broncoalveolar
A menor aumento se muestra un adenocarcinoma pobremente diferenciado. 20x
Lavado broncoalveolar
A menor aumento se muestra un adenocarcinoma pobremente diferenciado.
20x
Lavado broncoalveolar
Los núcleos de este adenocarcinoma pobremente diferenciado son variables en forma y tienen cromatina grosera. 60x
Lavado broncoalveolar
Los núcleos de este adenocarcinoma pobremente diferenciado son variables en forma y tienen cromatina grosera.
60x
Lavado broncoalveolar
Adenocarcinoma pobremente diferenciado.
60x
Lavado bronquial
En este adenocarcinoma de origen bronquiolar terminal están presentes numerosos grupos celulares .
20x
Lavado bronquial
En este adenocarcinoma de origen bronquiolar terminal están presentes numerosos grupos celulares .
20x
Lavado bronquial
Comparar el tamaño de estas células del grupo con el epitelio columnar adyacente. 20x
Lavado bronquial
Comparar el tamaño de estas células del grupo con el epitelio columnar adyacente.
20x
Lavado bronquial
A gran aumento se muestra un adenocarcinoma de origen bronquiolar terminal. 60x
Lavado bronquial
A gran aumento se muestra un adenocarcinoma de origen bronquiolar terminal.
60x
Lavado bronquial
Adenocarcinoma
60x
Lavado bronquial
Lavado bronquial con células malignas de origen bronquiolar terminal. 20x
Lavado bronquial
Lavado bronquial con células malignas de origen bronquiolar terminal.
20x
Lavado bronquial
A gran aumento se muestran las características relativamente blandas en las células de este adenocarcinoma de origen bronquiolar terminal. 60x
Lavado bronquial
A gran aumento se muestran las características relativamente blandas en las células de este adenocarcinoma de origen bronquiolar terminal.
60x
Lavado bronquial
Adenocarcinoma de origen bronquiolar terminal. 60x
Cepillado bronquial
El Adenocarcinoma puede mostrar estructuras verdaderamente papilares o pseudopapilares como se observa en este caso. 40x
Cepillado bronquial
El Adenocarcinoma puede mostrar estructuras verdaderamente papilares o pseudopapilares como se observa en este caso.
40x
Nota: Puede clicar en cualquier imagen del
Atlas para ver la imagen aumentada








