Lubricant Introduction
As an aid for patient comfort, lubricants are frequently used during the pelvic examination. However, usage of lubricant is not recommended by published guidelines (CLSI (Formerly NCCLS) Document GP15-A3, ACOG Practice Bulletin, no. 45, November 2008) because their use can adversely affect the Pap result in many ways including:
- Abundant lubricant on the cervical face will require removal with swabbing of the cervix which theoretically could remove exfoliated diagnostic cells.
- Residual lubricant could interfere with the endocervical brush and spatula or cervical broom in the acquisition of cervical cells.
- Residual lubricant could create a potential immiscible interface in alcohol based liquid Pap solutions leading to potential agglutination and cellular loss.
Hologic, Inc. has evaluated a variety of popular lubricants and found that those containing an ingredient known as “carbomers” or “carbopol polymers” are prone to interfere with popular liquid based Pap Tests.
Although Hologic does not recommend the use of lubricants, if one must be used due to patient discomfort or use of a plastic speculum, it should be done sparingly with care to avoid the tip of the speculum. This will decrease the possibility of suboptimal slide preparation due to excessive lubricant.
Download the ThinPrep Customer Lubricant Letter
Surgilube® Lubricant and Pap Test Lubricating Jelly from Aseptic Control Products, Inc. are both carbomer-free approved lubricants for use with the ThinPrep® Pap test. Both lubricants passed stringent testing by Hologic® and met established quality parameters without impacting ThinPrep Pap Test results. View images below of slides processed after these lubricants were added to the vial.
Download the Lubricant Launch Memo

No Lubricant Control – 10x

Surgilube added – 10x
Lubricant Gallery
Cytologists may be asked to evaluate the cause of “unsatisfactory” Pap samples. The following photographs illustrate the appearance of the different lubricants as seen in ThinPrep® Pap Test (TPPT) preparations.
A TPPT vial containing epithelial cells of moderate to high maturation and devoid of visible lubricant was identified for use in this comparison presentation. The TPPT vial was divided equally into five new TPPT vials with subsequent addition of a lubricant.
Reminder: You may click on any slide image
for an enlarged view.

Control vial
…shows superficial and intermediate cells evenly dispersed across the field of view. There is no visible evidence of lubricant or lubricant effect. Minimal degree of overlap and clearing is commonly seen in thin layer preparations.
4x
Control vial
…shows superficial and intermediate cells evenly dispersed across the field of view. There is no visible evidence of lubricant or lubricant effect. Minimal degree of overlap and clearing is commonly seen in thin layer preparations.
4x

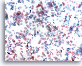
Lubricant A treated vial
…shows the effect of excessive lubricant. Superficial and Intermediate cells are clumped into a three dimensional group. Cells are less evenly dispersed with scant amorphous material noted in the background suggestive of lubricant.
10x
Lubricant A treated vial
…shows the effect of excessive lubricant. Superficial and Intermediate cells are clumped into a three dimensional group. Cells are less evenly dispersed with scant amorphous material noted in the background suggestive of lubricant.
10x

Lubricant B treated vial
…shows the effect of excessive lubricant.The field of view has sparse cellularity with an increase in the amount open spaces. In this instance, the excessive lubricant interfered with the cell collection process during slide preparation.
10x
Lubricant B treated vial
…shows the effect of excessive lubricant. The field of view has sparse cellularity with an increase in the amount open spaces. In this instance, the excessive lubricant interfered with the cell collection process during slide preparation.
10x

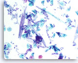
Lubricant C treated vial
…shows the lubricant staining a deep purple and resembling dense mucoid material in appearance. In this instance, the specimen had very scant cellularity and fragments of lubricant obscuring the epithelial cells. The decreased cellularity was most likely the result of excessive lubricant interfering with cell collection during slide preparation.
10x
Lubricant C treated vial
…shows the lubricant staining a deep purple and resembling dense mucoid material in appearance. In this instance, the specimen had very scant cellularity and fragments of lubricant obscuring the epithelial cells. The decreased cellularity was most likely the result of excessive lubricant interfering with cell collection during slide preparation.
10x

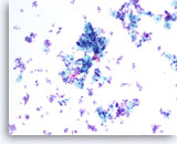
Lubricant D treated vial
…showing evidence of the lubricant present as a semi solid matrix resembling thin mucous. The lubricant stains a purplish hue in the background and is loosely associated with the epithelial cells. The cellularity is decreased as compared to the control. The lubricant effect in this case may not be as obvious to the observer.
10x
Lubricant D treated vial
…showing evidence of the lubricant present as a semi solid matrix resembling thin mucous. The lubricant stains a purplish hue in the background and is loosely associated with the epithelial cells. The cellularity is decreased as compared to the control. The lubricant effect in this case may not be as obvious to the observer.
10x
Note: The term lubricant is used to refer to physician applied, over the counter lubricants, spermicides and/or vaginal medications.

Lubricant E
10x
Lubricant E
10x

Lubricant F
10x
Lubricant F
10x

Lubricant G
10x
Lubricant G
10x

Lubricant H
10x
Lubricant H
10x

Lubricant I
10x
Lubricant I
10x

Lubricant J – Image 1
10x
Lubricant J – Image 1
10x

Lubricant J – Image 2
10x
Lubricant J – Image 2
10x

Lubricant K – Image 1
10x
Lubricant K – Image 1
10x

Lubricant K – Image 2
40x
Lubricant K – Image 2
40x

Lubricant K – Image 3
40x
Lubricant K – Image 3
40x

Lubricant L
10x
Lubricant L
10x

Lubricant M – Image 1
10x
Lubricant M – Image 1
10x

Lubricant M – Image 2
10x
Lubricant M – Image 2
10x

Lubricant N
10x
Lubricant N
10x