ANOMALIAS DE CÉLULAS EPITELIALES
ANOMALIAS DE CÉLULAS EPITELIALES
ADENOCARCINOMA ENDOCERVICAL :
Raheela Ashfaq, MD
Las células de una adenocarcinoma endocervical representadas en ThinPrep están bien preservadas y mantienen las estructuras glandulares clásicas y agrupamiento como se observan en otros métodos de recogida en base líquida, pe: adenocarcinoma en líquido corporal en muestras no ginecológicas. El diagnóstico de adenocarcinoma ha tomado gran importancia en los últimos años, debido al incremento tanto relativo como absoluto de su incidencia. Desafortunadamente, este diagnóstico es a menudo difícil en muestras convencionales del cérvix, debido a la toma de muestra incompleta del canal endocervical o a la pobre preservación del material glandular.
Diagnosticar correctamente el adenocarcinoma endocervical dependerá en gran medida del grado de lesión invasiva así como de la presencia o ausencia de diátesis tumoral. Las lesiones bien diferenciadas pueden ser difíciles de diferenciar de lesiones in situ y a menudo el diagnóstico definitivo se determina en la muestra quirúrgica biopsiada. A causa de las técnicas de rápida fijación empleadas con el ThinPrep, el énfasis principal no necesita hacerse sólo en la arquitectura del tejido, sino también en las características del núcleo. Criterios como irregularidades de la membrana nuclear y patrones de cromatina son importantes para ayudar a los citotécnicos a diferenciar entre lesiones glandulares neoplásicas de un proceso reparativo benigno. La ausencia de artefactos de secado resulta en una visión más clara de las características nucleares y elimina la cromatina emborronada haciendo así el diagnóstico menos dificultoso.
Como en otras entidades diagnósticas, un rango de enfermedad glandular puede acompañar el adenocarcinoma en forma de un AIS. Continuar el screening buscando una presentación más severa de la lesión es un factor importante para tener un alto índice de correlación con la biopsia en el laboratorio
Un diagnóstico preciso de adenocarcinoma endocervical es más sencillo cuando ha habido una toma de muestra adecuada de la lesión, que resulta en numerosas placas y grupos de células atípicas fácilmente visualizadas a bajo aumento. Aparece el criterio clásico de placa bidimensional y grupos, y estos grupos empiezan a redondearse y a mostrar pérdida de diferenciación glandular, observada en un AIS en forma de tiras, pseudoestratificación y apilamiento. Los grupos tridimensionales pueden mostrar bordes festoneados al borde de los grupos con el núcleo sobresaliendo del citoplasma. También puedes observarse polis fagocitados
La morfología nuclear de una adenocarcinoma endocervical varía con la diferenciación de la lesión. Los núcleos bien diferenciados poseen una cromatina finamente granular, hipercromática, distribuida uniformemente más parecida a los núcleos de un AIS. A medida que la lesión progresa, los núcleos aparecen más y más atípicos. Los núcleos están aumentados de tamaño, ocupando 2/3 o más del citoplasma. La cromatina se vuelve más grosera y a menudo irregularmente distribuida y muestra aclaramiento de la paracromatina. Las irregularidades en la membrana nuclear también aparecen aunque tiende a ser onduladas y suaves como tener los “mordiscos” y “hendiduras” que vemos en las lesiones escamosas. Pueden presentarse macronúcleos que pueden tener presentación irregular. Puede aparecer una diátesis necrótica y/o sangre que junto a las características celulares, nos ayudan a establecer el diagnóstico de una lesión invasiva.
Los criterios citológicos de Adenocarcinoma Endocervical Adenocarcinoma son los siguientes:
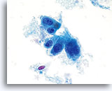
Grupos de células glandulares tienden a redondearse en Preservcyt y pueden presentar bordes en festón alrededor del grupo. Observar los bordes citoplasmáticos lisos, definidos del borde del grupo.
40x
Se puede ver polis atrapados tanto en el adenocarcinoma endocervical como en el adenocarcinoma endometrial.
60x
Los núcleos están aumentados de tamaño, suelen ocupar más de 2/3 del citoplasma y generalmente son redondos a ovales con membranas nucleares onduladas.
60x
Las membranas nucleares están reforzadas y las irregularidades de la membrana nuclear son onduladas en contraposición a las membranas con “mordedura de rata” que vemos en lesiones escamosas.
40x
Los patrones de cromatina varían de fina a groseramente granular y puede aparecer regularmente distribuida aunque grosera y agrupada. Los núcleos aparecen hipercromáticos y muestras mayor profundidad de foco en comparación a la entidad normal.
60x
El aclaramiento de la cromatina puede ser evidente y los núcleos muestran una profundidad de foco mayor en comparación con los núcleos Endocervicales normales.
60x
Los nucleolos cuando aparecen son prominentes y a menudo múltiples e irregulares.
60x
Puede haber diátesis tumoral y Aparece como un “velo” con una debris denso o linear en el centro y una apariencia deshilachada, raída y estirada del material alrededor de los bordes del grupo.
60x
Las células de un adenocarcinoma Endocervicales pueden ir acompañadas de hematíes fantasma.
60x
DIAGNÓSTICOS DIFERENCIALES*:
| ADENO/ CARCINOMA ENDOCERVICAL | ADENO/ CARCINOMA IN SITU | REPARACIÓN ENDOCERVICAL | CARCINOMA ESCAMOSO (con afectación glandular) |
|
| Presentación del tejido | Pocas células sueltas y placas bidimensionales con los bordes de los grupos bien definidos (borde en festón) | Tiras de epitelio glandular con pseudoe/ stratificación, en plumas, rosetas, pocas células sueltas | Placas planas de epitelio | Componente definidamente escamoso, placas de epitelio pobremente diferenciado con citoplasma espumoso y diferenciación glandular no definitiva |
| Citoplasma | Finamente vacuolado con predominio de múltiples vacuolas discretas, relación N/C 2:1 | Vacuolado, mantiene alguna diferenciación columnar, relación N/C aumentada. | Abundante apariencia de “cultivo de tejido”,Baja relación N/C | Finamente vacuolado, sin vacuolas discretas, citoplasma mal definido en los bordes del grupo (apariencia deshilachada) |
| Núcleo | Aumentado de tamaño, redondo u oval | Aumentados, oval o elongado | Variable en tamaño dentro del grupo, redondo | Variable, redondo u oval |
| Membrana Nuclear | Suave a irregular (ondulante), reforzada | Suave a ligeramente irregular | Suave | Suave a irregular(mordiscos y hendiduras) |
| Cromatina | Grosera, irregularmente distribuida, aclaración de la paracromatina, mayor profundidad de foco | Finamente granular, distribuida de forma regular, hipercromática, profundidad de foco aumentada | Finamente o groseramente granular, homogéneamente distribuida, hipocromática, foco plano | Finamente granular, distribuida homogéneamente, mayor profundidad de foco |
| Nucleolos | Grandes, prominentes, suaves o irregulares, únicos o múltiples | No bien definidos o moderados en tamaño y regulare | Pequeño, a veces múltiples, en cada núcleo | Ausente u ocasional, pequeño |
* El lector debe observar que los criterios mencionados anteriormente corresponden a la apariencia clásica de cada entidad diagnóstica y que estas entidades pueden superponerse en sus criterios haciendo que el diagnóstico definitivo sea más difícil. La intención de estos criterios es la de servir como guía para establecer una línea base teniendo en cuenta un rango de apariencias epiteliales y diagnósticos limites a tener en consideración
Adenocarcinoma Endocervical
40x
Adenocarcinoma in situ
60x
Reparación Endocervical
40x
Carcinoma escamoso coN afectación glandular
60x
- Ashfaq R et al: ThinPrep Pap Test accuracy for glandular disease. Acta Cytol 1999;43: 81-85.
- Bai H et al: ThinPrep® Pap Test promotes detection of glandular lesions of the endocervix. Diag Cytopathol 2000; 23 (1): 19-22.
- Johnson JE and Rahemtulla A: Endocervical glandular neoplasia and its mimics in ThinPrep Pap Tests. A descriptive study. Acta Cytol 1999; 43(3): 369-75.
- Roberts JM et al: Comparison of ThinPrep and Pap Smear in relation to prediction of Adenocarcinoma In Situ. Acta Cytol 1999 Jan-Feb:43(1):74-802
- Smith HO et al: The rising incidence of adenocarcinoma relative to squamous cell carcinoma of the uterine cervix in the United States – A 24-year population-based study. Gynecol Onc 2000; 78, 97-105















